Médicos colombianos y del CDC de EE.UU. descubren cáncer derivado de las células de un parásito

Disponible en:Medellín19 sep. 2016

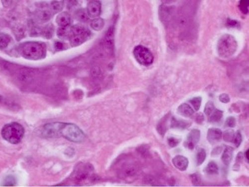
El caso se detectó en un paciente con compromiso del sistema inmune debido a una infección por VIH atendido en la Clínica Universitaria Bolivariana. El cáncer fue causado por células de un parásito intestinal o solitarias que invadieron al paciente, produciéndole lesiones en los pulmones y sistema linfático.

Las células anormales fueron descubiertas por los patólogos de la universidad a partir de muestras tomadas de las lesiones pulmonares. Luego de múltiples exámenes realizados en los CDC se detectó el origen parasitario.

La importancia de este descubrimiento médico radica en que es la primera descripción en la que un cáncer en humanos es producido por células provenientes de una especie diferente, como en este caso, un parásito.

 

Este es un caso único. Es el descubrimiento de un tipo de cáncer producido por células ajenas al cuerpo humano, procedentes de un parásito. Este descubrimiento tiene un alto impacto en el hecho de que permitirá que los médicos estén alertas a esta nueva forma de cáncer y poder hacer un diagnóstico temprano".

explica el médico Carlos Andrés Agudelo Restrepo, quien atendió al paciente e identificó en primera medida la curiosidad del caso. El doctor Agudelo es infectólogo de la Clínica Universitaria Bolivariana y egresado de la Facultad de Medicina de la Universidad Pontificia Bolivariana.

En la investigación y hallazgo también participaron los docentes de la Escuela de Ciencias de la Salud de la UPB, Lucy Diazgranados, Alicia Hidrón y Alejandro Vélez, estos dos últimos médicos del Hospital Pablo Tobón Uribe.

Este hallazgo crea también la oportunidad para que se desarrollen investigaciones futuras sobre las causas que originan el cáncer en las personas y la relación de esta enfermedad con las infecciones.

 
NUEVO CANCER

Médicos colombianos y del CDC de EE.UU. descubren cáncer derivado de las células de un parásito

 

Por: César Aleajndro Buriticá Arbeláez - Agencia de Noticias UPB 

Logo Universidad Pontificia Bolivariana

Resolución 020198 del 31 de octubre de 2024 por un periodo de 8 años

Universidad sujeta a inspección y vigilancia por el Ministerio de Educación Nacional.
Otorgado por el Ministerio de Educación Nacional. Nit UPB: 890.902.922-6. Todos los derechos reservados